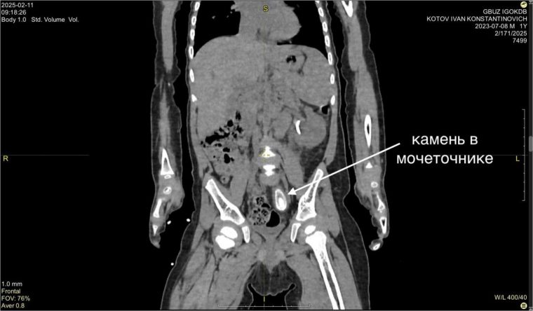
Камень в 3 см удалили из мочеточника маленького жителя Усть-Кута

Сложную операцию провел знаменитый на весь мир иркутский хирург, главный врач Иркутской областной детской клинической больницы Юрий Козлов.

post-22771 thumbnail
  • 12:05
  • 27.03.2025
  • ОбществоУсть-Кут
  • 0
  • 689

Первые признаки заболевания жительница Усть-Кута обнаружила у сына Вани еще в декабре прошлого года. На обследовании в Иркутске поставили диагноз — большой камень в нижней трети левого мочеточника размером около 3 на 1,5 см и вызванный им блок почки.

Размер камня удивил медиков — это нетипично для таких маленьких пациентов.

— Попытка внутрипросветного лечения была безуспешна — устье мочеточника не пропускало даже самую маленькую оптическую систему цистоскопа. После месяца непростого лечения с использованием нескольких антибиотиков была выполнена операция с применением нашего излюбленного подхода без разрезов — лапароскопии, — рассказывает Юрий Козлов.

Операция прошла успешно, и сегодня Ваня чувствует себя прекрасно.

Администрация УКМО

Данное сообщение (материал) создано и (или) распространено некоммерческими организациями и (или) средствами массовой информации, требующими полной отмены законодательства об иностранных агентах

Вы сможете добавить комментарий после авторизации

Присоединяйтесь! Мы в социальных сетях:

Вам также может быть интересно:

post-35280 thumbnail

#Топ новостькоррупцияПолитикаУсть-КутЭкология

Схема Анисимова-Тышкивского. Ситуацию с бродячими собаками в Усть-Куте чиновники создали искусственно

Коррупционная схема Анисимова-Тышкивского по отлову бездомных собак в Усть-Куте, никак не влияла на уменьшение популяции брошеных животных в городе   Многолетняя история игнорирования угрозы и личного обогащения на бездомных собаках, похоже близится к финалу. Мутные схемы по демонстративному отлову небольшого количества бездомных собак в Усть-Куте, похоже станут еще одним уголовным делом, только уже против мэра и председателя комитета по экологии совместно. Судя по всему, Анисимов с Тышкивским так заигрались в псевдо-отлов, что даже не смогли освоить выбитые из бюджета на эти цели деньги. Скорее всего схема дала сбой в тот момент, когда еще один участник аферы, живодер Александр Солдатов, владелец приюта "Пять звезд" из Усолья, неожиданно попал в тюрьму. Напомним,  что Солдатову предъявлено обвинение по п. «а» ч. 2 ст. 238 УК РФ, ч. 4 ст. 159 УК РФ, ч. 1 ст. 187 УК РФ (оказание услуг, не отвечающих требованиям безопасности, мошенничество при выполнении муниципальных контрактов, изготовление поддельных распоряжений о переводе денежных средств). По мнению следствия, обвиняемый может скрыться от следствия и правосудия. После этого некому оказалось имитировать отлов собак и схема дала сбой. Вот как прокомментировали коррупционную схему устькутские волонтеры:

"...Наблюдая за деятельностью по отлову собак без владельцев указанных организаций, активисты по защите животных г. Усть- Кута, стали обращать внимание на тот факт, что отлов животных производился без какого-либо контроля со стороны Администрации, чаще всего в отлов попадали щенки и собаки не проявляющие агрессию , которые самостоятельно подходили к людям. Собаки с, возможным агрессивным поведением в отлов не попадали, в основном из трудностей их отлова. Данные обстоятельства стали широко обсуждаться в социальной сети в группах зоозащитников г. Усть-Кута. После выявленных фактов активисты по защите животных организовали самостоятельный контроль, в ходе которого выявилось, что в отлов попадают уже стерильные собаки, у которых имелись соответствующие бирки-чипы. При отслеживании активистами ситуации, также выявилось, что при возвращении указанных собак на их прежнее место обитания, бирки-чипы были заменены на новые. Это свидетельствовало о том, что с данными собаками не производилось мероприятий по стерилизации , но они были указаны в актах по выполнению и оплаты работ...."

То есть как и предполагалось ранее, отлов и стерилизация собак приютом "Пять звезд" по соглашению с администрацией Усть-Кутского района, является полной имитацией и освоением бюджетных средств. Если вспомнить, как мэр Анисимов и его заместитель Тышкивский, много лет добивались закрытия волонтерского приюта "Верный друг" и выпуска собак из него на улицы города, то становится понятным, зачем это было нужно. Собаки в волонтерском приюте в большинстве своем уже стерилизованы и неагрессивны, доверяют людям. Их можно будет легко отловить и составить документы на их фейковую стерилизацию, тем самым освоив выделенный для этих целей бюджет. В итоге почти 3 миллиона рублей из 8 выделенных на эти цели миллионов рублей, так и не были потрачены. Если углубляться в подробности, то станет понятными действия мэра по закрытию приюта и росту популяции собак в городе. Все просто, чем больше собак, тем больше денег из бюджета можно освоить на их якобы отлов, постоянно задирая планку необходимости. То, что от этого страдают горожане в том числе дети, коррупционеров судя по всему, не беспокоило совсем. Посмотрим, чем закончится проверка по этим эпизодам, но теперь убедить людей, что чиновники не из корыстных побуждений завели в город живодерский приют аж из Усолья, точно не получится. Ариэль Эмет Специально для «УК24» на фото : из открытых источников Канал в Телеграмм Наш Инстаграм Страничка в Одноклассник    
169
0
17.02.2026 в 05:01
post-35263 thumbnail

#Топ новостьПроисшествияУсть-КутЭкология

В Усть-Кутском районе розлив нефти на Верхней Бочахте

Едкий запах нефти около речки Верхняя Бочахта, является следствием розлива  Судя по всему очередная утечка с нефтяных месторождений в Усть-Кутском районе, частично попала в речку Верхняя Бочахта. Там не смотря на лед и глубокий снег, все равно ощущается резкий запах сырой нефти и ингибиторов для ее нейтрализации. При этом никаких сообщений об авариях в надзорные органы не поступало, а это значит, что часть загрязненной сырой нефтью воды, с весенним паводком попадет в реку Лена. Верхняя Бочахта после этого, надолго останется речкой без рыбы, ведь присутствие нефтепродуктов в воде, это по сути локальная экологическая катастрофа для экосистемы речки. Напишем обращение в природоохранную прокуратуру  по поводу этого инцидента. ВИДЕО Ариэль Эмет Специально для «УК24» на фото : из открытых источников Канал в Телеграмм Наш Инстаграм Страничка в Одноклассник  
467
0
16.02.2026 в 19:50
post-35218 thumbnail

#Топ новостьКриминалПроисшествияУсть-Кут

Тайны следствия Усть-Кута. Перед суицидом брат педофила сделал странный звонок

Странный долгий звонок перед самой смертью, возможно и стал причиной необдуманного поступка Степана Тышкивского Как стало известно "УК24" из осведомленного источника в правоохранительных органах, незадолго до самоубийства, Степан Тышкивский долго разговаривал по телефону. После этого он сходил домой, взял оружие и ушел в гараж, где и лишил себя жизни. Источник сообщил нам, что абонент с которым разговаривал погибший, записан у него в телефоне как "Участковый". К сожалению номер этого абонента неизвестен, так как все вещдоки с места происшествия, забрали сотрудники Следственного комитета. Вполне возможно, что так у него в телефонной книге записан глава поселка Янталь Константин Романенко, который когда-то действительно был участковым инспектором. Хотя не исключено, что это мог быть и кто-то другой, например Дмитрий Коломиец, который мог ознакомить Степана с имеющейся информацией, после получения которой, он свел счеты с жизнью. Что это была за информация и конкретно с кем говорил Степан Тышкивский за несколько минут до трагедии, мы конечно же все равно выясним. Правда не слишком быстро, но когда узнаем, ознакомим с этим наших читателей. Ариэль Эмет Специально для «УК24» на фото : из открытых источников Канал в Телеграмм Наш Инстаграм Страничка в Одноклассник    
1958
0
13.02.2026 в 06:48
post-35214 thumbnail

#Топ новостьПолитикаПроисшествияУсть-КутЭкологияЭкономика

В Усть-Куте на ИЗП произошла аварийная утечка химической смеси

Вчера днем на ИЗП произошел аварийный выброс химической смеси при переработке сырья Практически вчера весь день и вечер, в микрорайоне Мостоотряд  в атмосфере, ощущался устойчивый запах горелого парафина. Судя по всему это был аварийный выброс непереработанного сырья, в технологической цепочке при производстве полипропилена. Как на условиях анонимности рассказали "УК24" сотрудники ИЗП, скорее всего причина запаха, может быть следствием неполного факельного сжигания, при котором образуются частично окисленные парафиновые фракции. При этом концентрация может быть и ниже ПДК (предельно-допустимой концентрации), но запах при этом ощущается очень отчетливо. Если у людей при этом наблюдаются следующие симптомы, то это повод для беспокойства и обращения за медицинской помощью:
  1. если есть жжение в глазах
  2. если есть кашель и вершение ив горле
  3. если ощущается металический привкус
  4. резкая головная боль и тошнота
Мы попытались получить официальный ответ в пресс-службе ИНК о причинах резкого химического запаха, но нас уверяли, что никаких аварийных ситуаций нет и если запах и есть, то он якобы не с ИЗП, а неизвестно откуда. Верится в эту версию с трудом, но если у кого-то наблюдаются подобные симптомы, то лучше не мешкать, а сразу обращаться за медицинской помощью. Так же настораживает, что именно в микрорайоне Мостоотряд, располагается детский дом, где на постоянной основе проживают несколько десятков ребятишек, оставшихся без попечения родителей. Кроме этого в самом Мостоотряде, проживают несколько сотен несовершеннолетних, здоровье которых тоже находится в зоне риска. Завод ИЗП еще не совсем приступил к полному производственному циклу, а нехорошие звоночки уже начинают настораживать. Так ли он безопасен, как это заявляет ИНК? Ариэль Эмет Специально для «УК24» Фото:  из открытых источников Канал в Телеграмм Наш Инстаграм Страничка в Одноклассник  
567
0
13.02.2026 в 06:30